076-422-3313

ご予約・お問い合わせ

診療時間

午前9:00〜12:30

午後14:30〜18:00

休診:水曜・日曜・祝祭日

歯のお悩みナビ

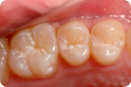
シーラント

シーラントはプラスチックの一種で安全なものです。
特に、奥歯にある溝につめて、ムシ歯菌や食べ物のカスがたまらない様にムシ歯を防ぐものです。
歯を削らずにつめるので痛くありません。

生えて間もない奥歯の永久歯(6才臼歯)は特にムシ歯になりやすいので、この方法で処置しておくと効果があります。
(大人にも応用できます。)
もちろん、ムシ歯予防は、これだけで十分というわけではありません。きちんとブラッシッングをして、シーラントがきちんとついているかなどの定期検診を受け、甘味を減らすなど、食生活でも注意して、総合的な関心を、親と子が一緒になって持ちつづけることが大切なのです。
当院ではなるべく歯を削らずに保存する治療を心がけています。特にお子様の乳歯の治療では、金属アレルギーの危険性、歯に対するダメージ、審美性を考えて、金属は使用しません。

治療前

奥歯の咬合面の溝はもっともムシ歯になりやすい部位の1つです。

治療後

この溝を接着力のあるプラスチックで埋めてしまいます。とれない限り、ムシ歯予防に大きな効果があります。