076-422-3313

ご予約・お問い合わせ

診療時間

午前9:00〜12:30

午後14:30〜18:00

休診:水曜・日曜・祝祭日

歯のお悩みナビ

スマートチタン義歯

自然に見える入れ歯
-大きな口で笑える生活を-

入れ歯に抵抗感はありませんか?
お口を開けて、話す時、食べる時、笑う時、銀色のバネがチラッと見える・・・
できれば、入れ歯と気付かれにくくしたいものです。
部分入れ歯を固定するために、ほとんどの場合、残った歯にバネをかけます。
そのバネが素材や色調を工夫することで、目立ちにくくなります。
そんな入れ歯にしてみませんか?

治療費参考価格

PD(部分床):245,000円〜
FD(全部床):305,000円〜

※症状によって費用は異なります。患者さまに最適な治療をご提案いたしますので、お気軽にご相談ください。

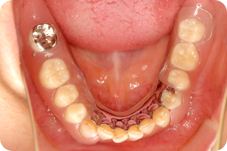
スマートチタン義歯

通常(銀色のバネ)

お求め安く経済的ですが、前歯でも銀色のバネしか使用できません。バネの全体が、お口を開いたときに見えるので、入れ歯を入れていることが分かりやすいです。

スマートチタン義歯

金属のバネが無いため、見た目が綺麗で入れ歯と気付かれません。水分吸収を抑えたプラスチックの素材で、衛生的です。金属床との併用をおすすめします。

スマートチタン義歯(全体図)

治療前

治療後

治療前

治療後