076-422-3313

ご予約・お問い合わせ

診療時間

午前9:00〜12:30

午後14:30〜18:00

休診:水曜・日曜・祝祭日

歯のお悩みナビ

白いかぶせもの

患者さまのご希望にお応えするために

製作する歯について
技工士が直接ご要望をお聞きします。

泉歯科医院の白いかぶせものとは

お一人おひとりに本当にあった詰め物・被せ物をご提案できるよう、当院ではさまざまなメニュー(プラン・コース)をご用意しています。あなたにぴったりのものがきっと見つかります。

材料の品質と安全性

金・銀・プラチナ・パラジウムなどの貴金属やチタン・セラミックなど管理された安全な材料を使用しています。水銀など安全性に問題のある材料は一切使用しておりません。

セラミック治療などの場合

セラミック治療などの場合には、熟練の技工士が患者さまの希望を直接お聞きしてから製作にはいります。
今まで歯の色や形について、言いにくかったことや悩んでいたことなど担当の技工士にお気軽に相談してみて下さい。

当院での審美治療の流れ

1

歯科医による診察、カウンセリング

最初に歯科医による診断、治療方針の説明を行います。

2

コーディネーターによる治療プランと金額の説明

いくつかの治療計画の中から、金額や治療期間などご希望に合う物を選択していきます。そして全て納得して頂いてから治療スタートとなります。

3

型取り、かみ合わせのチェック

精密に型を取り、かみ合わせを確認します。仮歯を装着し、生活に支障がないようにします。

4

技工士による色合わせ

製作する前に技工士が、色や形についてご希望をお聞きします。お口の中やお顔の写真を撮影し、それらの情報を参考にして製作していきます。

5

完成前の土台

この土台に合わせて被せ物が出来上がります。
完成した物を取り外しができる状態でお口の中で調整します。気になる点があればお気軽にお申し出下さい。

6

完成物の装着

完成した物にご納得いただければ装着します。装着後も経過確認のため、受診が必要な場合があります。

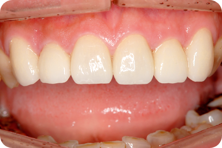
オールセラミック

金属を一切使用しないセラミック(陶器)でできている詰め物・被せ物で、本物の歯の様な透明感を実現できます。
補綴治療(被せ物や詰め物の治療)は歯が黒ずんでしまうという心配が付きものですが、これは金属イオンによるもの。オールセラミックではそのような心配はありません。また、金属アレルギーの方も安心して治療を受けられます。

症例1:オールセラミック

治療前

治療後

症例2:オールセラミック

治療前

治療後

症例3:オールセラミック

治療前

治療後

症例4:部分的なセラミック

治療前

治療後

治療費参考価格

部分セラミック:33,000円〜
オールセラミック:75,000円〜

※価格は全て税別表記。
※症状によって費用は異なります。患者さまに最適な治療をご提案いたしますので、お気軽にご相談ください。